返回顶部
论坛积分体系说明|用户须知
本论坛版主工作制度(讨论稿)
第三方维修公司汇总,欢迎补充
技术精湛的工程师加入|新人必读帖
2012年版主招募中,欢迎加入
等待验证会员请讲|医工币充值说明
论坛广告位列表及报价
我来说说“医学工程在线”的定位
论坛获取金币的方法总结
大文件上传方法图解说明
医学工程在线论坛评分细则
空位待租,可链接到指定网址

[设备故障求助] 东软ct图像伪影求助

16
回复
9384
查看
  [复制链接]
hnqqyy 显示全部楼层 发表于 2010-5-6 21:49:42 |阅读模式
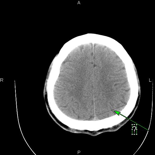
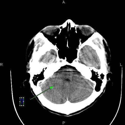
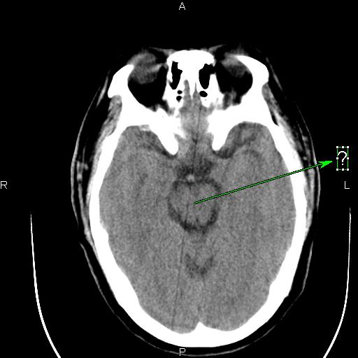
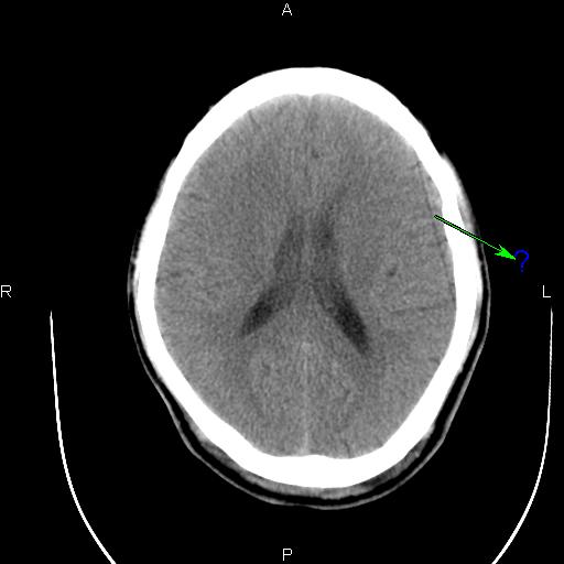
B13F_001.jpg B13E_001.jpg B141_001.jpg B140_001.jpg
这种伪影是怎样造成的?怎样解决呢?
ouyhbiao 显示全部楼层 发表于 2010-5-8 03:08:26
DAS部份有问题
fengd 显示全部楼层 发表于 2010-5-22 09:04:48
应该探测器部分。
东软CT维修 显示全部楼层 发表于 2010-6-27 22:06:50
在扫描分析中检查一下均值 和差值正常否?有无跳变?  应该是通道问题.
  李工  13303469900
sibet 显示全部楼层 发表于 2010-6-28 09:19:00
是否探测器某通道出现故障?!
fengd 显示全部楼层 发表于 2010-7-16 14:07:25
回复 4# 东软CT维修


    请给予详细解答哈。
小胖 显示全部楼层 发表于 2010-7-16 15:20:18
应该是某个通道跳起引起的直线伪影。你可以在过滤成像里检查一下,应该可以看到一跟亮线,找到是某个通道,然后屏蔽就可以了。另外一种方法就是,在ps里,不放线,不旋转,之间看所有的通道值,有没有跳起的?在ps里,放线,不旋转,这样可以看得更加清晰!你可以找到跳起的通道,或你也可以找到相应位置的das板,然后把有问题的das板换到边上,这样也可以解决问题。应该是检测器中间部位的某个das板或是通道引起的伪影
东软CT维修 显示全部楼层 发表于 2010-8-4 14:57:58
呵呵,楼上的讲解的很详细哦,能否认识一下呢? 太原李工  13303469900
  关于这种伪影还有一种可能是码盘是否干净的。
东软CT维修 显示全部楼层 发表于 2010-8-4 14:59:59
另外有问题可以随时来电话,我不一定常来的。
已绑定手机
huangcq 显示全部楼层 发表于 2010-8-7 09:39:18
滑环接触不良,擦滑环应该能解决问题.
您需要登录后才可以回帖 登录 | 注册

本版积分规则

医学工程在线 医学工程在线(bmeol.com)创建于2009年2月,是医院设备科、医学工程科及其他医学工程专业人员的交流平台,提供医学工程领域的资讯信息、技术交流、配件供求、人才招聘等综合服务。
  • 官方手机版

  • 微信公众号

  • 商务合作