返回顶部
论坛积分体系说明|用户须知
本论坛版主工作制度(讨论稿)
第三方维修公司汇总,欢迎补充
技术精湛的工程师加入|新人必读帖
2012年版主招募中,欢迎加入
等待验证会员请讲|医工币充值说明
论坛广告位列表及报价
我来说说“医学工程在线”的定位
论坛获取金币的方法总结
大文件上传方法图解说明
医学工程在线论坛评分细则
空位待租,可链接到指定网址

[设备故障求助] 急需大家的帮助,GE 1600i 扫描故障

5
回复
3065
查看
  [复制链接]
iewguo 显示全部楼层 发表于 2011-11-5 17:40:42 |阅读模式
我讲述下故障详细情况。
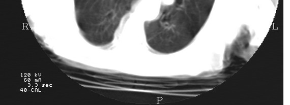
扫描时机子并没报错误代码,而是扫描的图像发现了改变。请看图。

2.jpg
1.jpg


这里2张图是同一个病人的,后面一张最下面3条横线(那是扫描床)平行的,正常图像。前面一张最下面我们可以看见完全不清晰了,而且还可以看见左右歪曲,异常图像。

另外,我用不同的扫描时间和不同的mA值分别进行扫描,其中3.3s 40mA 以及5s  40、60、80、100mA扫描的图像都是正常的,但是用3.3s 60、80、100mA扫描就出现不正常的图像了。请大家看图。



所以,我希望能得到各位顶级工程师的帮助,这个故障的原因在哪?怎么排除?希望能跟帖详细说明下,万分感谢。



联系QQ3587543
lxc2011 显示全部楼层 发表于 2011-11-6 12:02:20
很明显是图像重建系统的问题
iewguo 显示全部楼层 发表于 2011-11-8 09:09:18
很明显是图像重建系统的问题
lxc2011 发表于 2011-11-6 12:02



    老师,能否详细点。另外,为什么3.3s 40mA 和5s都能正常扫描  其他的不行?  重建有问题的话  为什么这几个又能行?
希望老师详细解释下。
iewguo 显示全部楼层 发表于 2011-11-10 08:42:53
各位老师  来帮忙啊
山鹰 显示全部楼层 发表于 2012-4-24 14:14:30
还有其他信息吗?
翅膀翅膀 显示全部楼层 发表于 2012-4-30 23:13:33
学习了,谢谢
您需要登录后才可以回帖 登录 | 注册

本版积分规则

医学工程在线 医学工程在线(bmeol.com)创建于2009年2月,是医院设备科、医学工程科及其他医学工程专业人员的交流平台,提供医学工程领域的资讯信息、技术交流、配件供求、人才招聘等综合服务。
  • 官方手机版

  • 微信公众号

  • 商务合作