返回顶部
论坛积分体系说明|用户须知
本论坛版主工作制度(讨论稿)
第三方维修公司汇总,欢迎补充
技术精湛的工程师加入|新人必读帖
2012年版主招募中,欢迎加入
等待验证会员请讲|医工币充值说明
论坛广告位列表及报价
我来说说“医学工程在线”的定位
论坛获取金币的方法总结
大文件上传方法图解说明
医学工程在线论坛评分细则
空位待租,可链接到指定网址

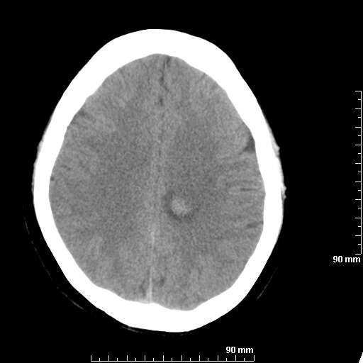
[维修案例解析] 大家猜猜看,这个伪影是怎样产生的.

24
回复
12853
查看
  [复制链接]
二马日王 显示全部楼层 发表于 2011-6-9 18:12:55 |阅读模式
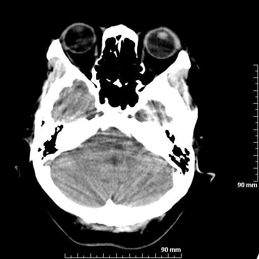
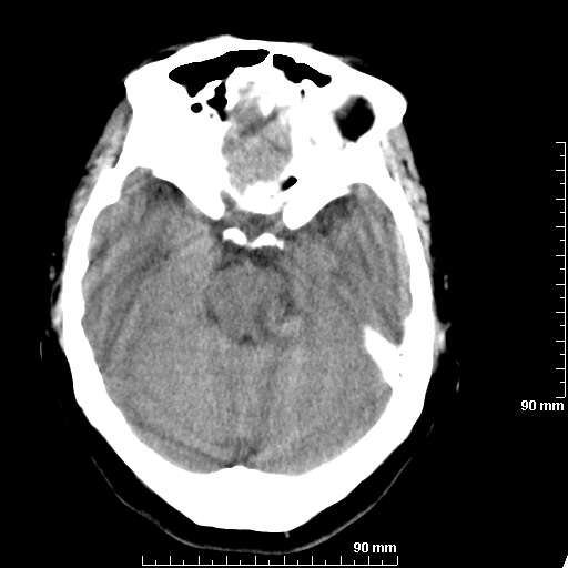
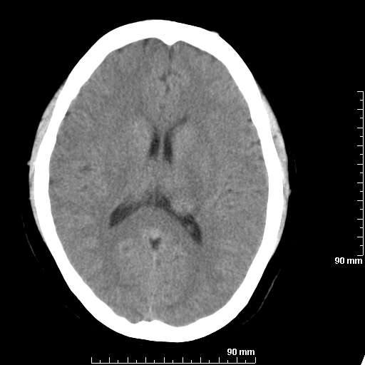
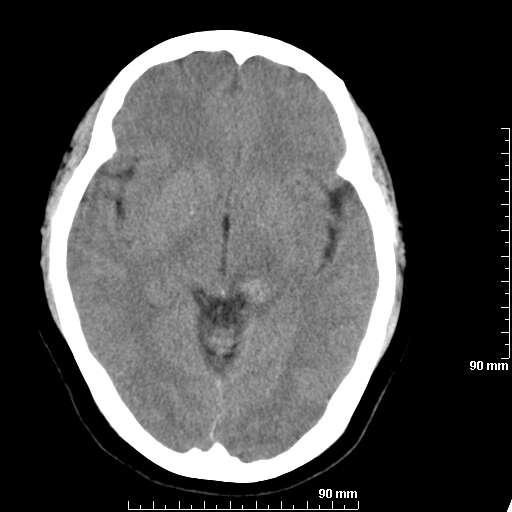
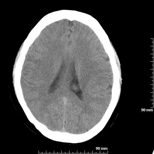
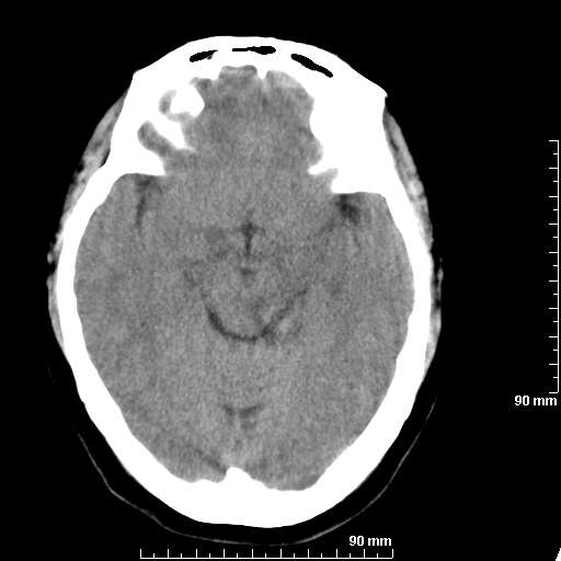
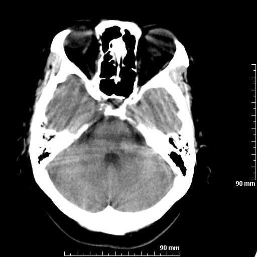
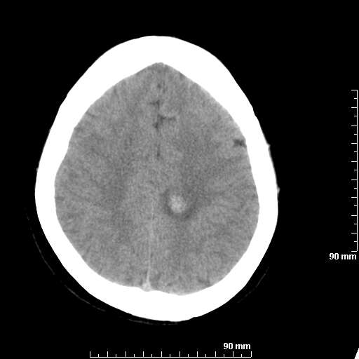
我院西门子单排CT由于一零件受损而产生的伪影.
伪影0.JPG
伪影1.JPG
伪影2.JPG
伪影3.JPG
伪影4.JPG
伪影5.JPG
伪影6.JPG
伪影7.JPG
伪影8.JPG
伪影9.JPG
伪影10.JPG
伪影11.JPG
伪影12.JPG
伪影13.JPG

评分

1

查看全部评分

二马日王 显示全部楼层 发表于 2011-6-11 18:28:06
哈哈,都不是。是虑线器fiter裂损。大家没想到吧。
fengd 显示全部楼层 发表于 2011-6-10 08:31:38
探测器还是数据采集?
donfaye 显示全部楼层 发表于 2011-8-4 10:38:12
哦,跟脑出血有点像哦
xiuwant 显示全部楼层 发表于 2011-8-5 09:12:35
形状不规则,边缘模糊。比较特殊的一种伪影哈!
手背手心_2009 显示全部楼层 发表于 2011-8-7 08:05:03
这种伪影很常见!伪影应该是在视野的中心的。
HHmedical 显示全部楼层 发表于 2011-8-8 23:56:32
西门子的虑线器fiter裂损这才是很难见的问题,GE的最常见
zasdx133 显示全部楼层 发表于 2012-2-3 13:23:04
虑线器老化,中间崩裂一块掉了
liuhulan 显示全部楼层 发表于 2012-2-13 12:43:18
确实是虑线器,但是很少见
gyzsp56 显示全部楼层 发表于 2012-2-22 09:56:04
确实是虑线器,听说过,赞一个
您需要登录后才可以回帖 登录 | 注册

本版积分规则

医学工程在线 医学工程在线(bmeol.com)创建于2009年2月,是医院设备科、医学工程科及其他医学工程专业人员的交流平台,提供医学工程领域的资讯信息、技术交流、配件供求、人才招聘等综合服务。
  • 官方手机版

  • 微信公众号

  • 商务合作